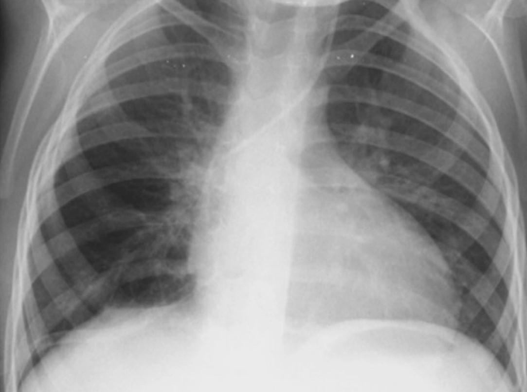
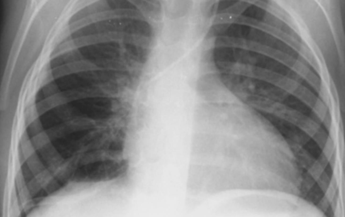
В Кишиневе врачи спасли 3-летнюю девочку, удалив опухоль из грудной клетки

  • Семиднeвная Панорама

Опухоль размером примерно 12 × 9 × 10 сантиметров занимала около 80% области грудной клетки. Фото Центра детской хирургии им. Н. Георгиу

Load next